診療内容

歯が多く失われてしまった際、歯のないところに補う取り外しタイプの物をいいます。食事や会話あ不便になる為、義歯(入れ歯)が必要になってきます。入れ歯には大きく分けて、総入れ歯と部分入れ歯があります。
入れ歯の種類
レジン床義歯
人工歯も含め、全体がプラスチックでできています。
強度を確保するため、どうしても厚みが必要になります。平均1,5~2mmは厚みが必要となりますが、修正が簡単にできるので、歯を抜いて間もなく歯ぐきの状態が安定していない場合などには適しています。
金属床義歯
口蓋や顎堤の一部分が金属でできています。
金属は強度が高いため、薄くできるのが最大の利点です。温度の変化もレジン床に比べると感じやすく、薄いためしゃべる時の違和感も少なくなります。
最近はチタンという金属を用いた入れ歯もあり、さらに軽い入れ歯を作ることができるようになりました。
症例によっては特定療養費という制度によって、治療費の一部が保険から支給されます。
スマートデンチャー
スマートデンチャー(ノンクラスプデンチャー)とは部分入れ歯のバネ(金属)がないものです。バネなし入れ歯ともいわれております。バネがないため目立たなく審美性が高くなります。
■メリット
- 薄く、軽く、弾力があるため装着感が良いです
- 入れ歯だと気づかれにくい
- 金属を使わないため金属アレルギーがない
- 着色、臭いがつきにくい
■デメリット
- 症状によってできないことがある
- 修理、リベースが困難
- 保険適応ではない
ソフトデンチャー
入れ歯の内側を柔らかい素材(シリコン樹脂)で作った新しいタイプの入れ歯です。柔らかいため、お口の中で吸い付くように安定し、しっかり噛むことができますし、異物感も少ないため、痛みも感じません。
マグネットデンチャー
残った歯と入れ歯に磁石を付けることで、磁力で固定するタイプの入れ歯です。バネを使用しないため、見た目が自然で、歯の根に磁石を埋めて固定しますので、ガタガタ動いたりする事がなく安定します。
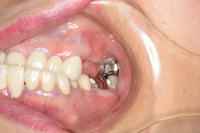
症例
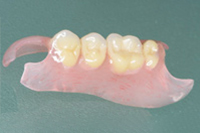
スマートデンチャー 術前

ノンクラスプデンチャー
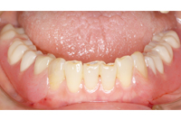
スマートデンチャー 術後

バネなし入れ歯 術前

ノンクラスプデンチャー

バネなし入れ歯 術後

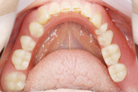
バネなし入れ歯 術前

ノンクラスプデンチャー

バネなし入れ歯 術後
診察時間
| 診療時間 | 月 | 火 | 水 | 木 | 金 | 土 |
|---|---|---|---|---|---|---|
| 9:30〜12:30 | ● | ● | ● | ● 13時まで | ● | ● |
| 14:00〜20:00 | ● | ● 19時まで | ● | × | ● | ● 17時まで |
※予約優先制、急患随時受付 ※日曜・祝日・年末年始は休診
- 来院される前に、持参していただくもの
- ・保険証(初診の方、または月初めにはお持ちください)
- ・その他 入れ歯が壊れたりされた場合、破片等もお持ちください。





