診療内容
審美歯科とは歯の色や形体、歯並び、歯肉の色等が気になる方に最適な治療です。
歯や歯肉の美しさに重点を置いた治療です。
クリーニング
専用のトレーを作り、ご自宅でホワイトニング剤を入れたトレーを歯に数時間装着することで、歯を白くしていく方法です。低濃度の薬剤を使い長時間かけてゆっくりと白くしていきます。比較的長く白さが保てます。
使用する薬剤は過敏化尿素で本来お口の中の消毒に用いられていたものです。
体にも安全で歯そのものにも悪い影響を与えません。
■方法
- 1 歯科医師が歯と歯肉の診査を行います。
- 2 歯科衛生士が歯のクリーニングを行います。
- 3 専用トレーを作ります。
- 4 患者さん自身が自宅で行います。
- 5 装着時間は1日2~3時間です。
- 6 期間は1~3週間です。


ガムピーリング
本来きれいなピンク色をしている歯ぐきが、喫煙や、先天的なものなどが原因で歯ぐきがくすんだり、黒ずんだりしてしまう事があります。これは自然に戻る事はありません。ガムピーリングとは、専用の薬剤やレーザーを使用して歯ぐきの角質除去を行うことにより健康なピンク色の歯ぐきに戻す治療のことです。
■薬剤による治療方法
薬剤によるガム ピーリングでは、歯ぐきの表面に薬剤を塗り、ピーリングします。薬剤を歯ぐき全体に塗布した後、白くなってきたら消毒用アルコールで中和させます。黒ずみの部分に薬 品が反応し、通常2~3日または1週間程度で黒ずみの部分がはがれ、きれいなピンク色になります。
通常1回できれいになりますが、濃い方は2~3回かかることがあります。
また、施術時に表面麻酔をかけるので、ほとんど痛みは感じません。


■レーザーによる治療方法
レーザー ガムピーリングは、歯ぐきの黒ずみを安全、確実に除去し、きれいなピンク色の歯ぐきにします。歯ぐきの深層まで黒ずみがある場合にはレーザーによるピーリングをおすすめします。
ピーリング後、少しチクチクする感覚がありますが、すぐに回復します。
■注意事項
- ガムピーリング後、刺激の強い食べ物(辛い物や塩辛い物など)は、控えて下さい。
- やけどをしたようなヒリヒリ感を感じる場合もあります
- ガムピーリング後、2~7日間くらい歯ぐきが白っぽくなります。 *1週間後辺りから白濁は消失し、健康歯ぐきの色調になってきます
- 個人差にもよりますが、生活状況(喫煙等)によっては、再発する事があります。
■このような方におすすめです。
- 歯ぐきの黒ずみが気になる方
- ホワイト二ングを受けられた方
- 結婚式を控えてる方
- 入社式や面接、成人式等を控えてる方
セラミック治療
セラミック治療とは虫歯の治療などで削った歯をかぶせる治療です。
保険外の材料を使用するため希望通りの形、色、歯並びを良くし審美性を高めることができます。
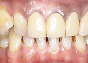
症例1
初診で前歯の保険の差し歯が変色し形も色も悪いのでセラミックで治したいと希望した患者さんです。
術後
患者さんは女性で柔らかい感じにしたいと希望がありましたので少し丸みをだして作りました。患者さんは満足しております。
術後4年経過
タバコを吸う方ですが歯の色の変色や着色また歯肉退縮もなく歯垢の付着もありませんでした。

術前

後前

4年後
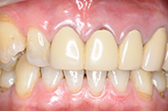
症例2
患者さんは60代男性 以前入れた保険の歯が色が変わって歯ぐきもやせたので白くしたいと希望術後
きれいに入って「こんなに保険の歯と違うのですか、入れて良かった」と喜んでおられました。
1本80000円(税別)

術前

術後
■メリット
- 見た目が美しい
- 変色しない
- 虫歯になりにくい
- 金属アレルギーがない
- 歯垢がつきずらい
■デメリット
- 費用が高い
- 割れることがある
- 歯を削る量が多い
■費用
5万~12万(税別)
■セラミックの種類
- ハイブリッドセラミック
- メタルボンドセラミック
- オールセラミック
- ジルコニアセラミック
それぞれ利点、欠点、金額が異なります。
■すきっ歯について
空隙歯列とは歯と歯の間に隙間がある歯並びのことで、すきっ歯(正中離開)とも呼ばれています。
■原因
- 上層小帯異常
- 過剰歯、歯の数が少ない
- 歯周病
- 悪習癖(指しゃぶり、舌癖)
治療方法
■ ダイレクトボンディング(レジン治療)
ダイレクトボンディングとは多種類のプラスチックを直接歯に盛り付けていき天然歯のような自然な色や形を再現する治療法です。
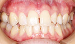
症例1(すきっ歯)
20代の患者さんでずっと前歯の隙間が気になっていてコンプレックスでしたと
術後非常に喜んでおりました。
回数3回 費用6,0000円

術前

術後
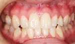
症例2(すきっ歯)
50代の患者さんで前歯の隙間に物が挟まったり空気が漏れる感じがすると訴えておりました。
隙間を埋めてから悩みが解消しましたと喜んでおられました。
回数2回 費用6,0000円

術前

術後
症例3(銀歯→白く)
20代の患者さんで金属が前から気になっているのでダイレクトボンディングで治したいと訴えておりました。
金属がなくなってすっきりし見た目も良くなって喜んでおられました。
回数2回 費用25000円

術前

術後
症例4(むし歯→白く)
30代の患者さんで以前銀歯が入っていて気になっていたので白くしたいと希望した方です。
自然な感じに白くなって良かったと喜んでおられました。
回数2回 20000円

術前

術後
■ダイレクトボンディングはこのような方におすすめです。
- なるべく歯を削りたくない
- 銀歯が気になる
- 歯の形を治したい
- 以前に治療した詰め物が変色してきた
- 前歯の隙間が気になる(すきっぱ)
■メリット
- 歯を削る量が最低限ですむ
- 回数が短い
- 自費にしては安価でできる
- 保険レジンに比べて変色しずらい
- 金属を使わない
■デメリット
- 経年的に変色するときがある
- 保険適応にならない
- 強くぶつけると欠けることがある
■費用
1万~4万(税別)
治療の流れ
1回目 30分 カウンセリング
現在の気になっていることを確認し、患者さんの希望、疑問、ご質問等受け付けます。
この段階で治療回数、費用をお知らせ致します。
2回目 30分~1時間
ダイレクトボンディングで丁寧に治療をすすめ完了です。

術前

術後
■ ベニアやセラミックによる治療
歯の表面を薄く削り、付け爪のような薄いセラミックを歯の表面にくっつける治療法です。歯を薄く削るだけですので、麻酔は使用せずに治療が可能となります。また、すきっ歯の改善だけでなく、歯の「色」「形」のバランスも調整することができます。前歯の治療で利用します。
当院ではほとんどのケースで歯を削らず隙間を埋めるダイレクトボンディング法(自費治療)を採用しております。
この方法は他の自費治療と比べ、費用が安く、多くの場合は1、2回の治療ですみます。
マウスピース矯正
■ マウスピース矯正とは
マウスピース矯正は透明のマウスピース型の矯正装置をその人の歯に合わせてアライナーを作製し歯に装着して交換しながら徐々に歯を動かし矯正する方法です。

■メリット
- 自分で取り外しができる
- 矯正装置が透明なので目立たない
- 金属を使わないのでアレルギーがない
- 矯正費用が安い
- 痛みが少ない
- 同時にホワイトニングができる
- 通院回数が短い
■デメリット
- 適応症例が限られる
- 装着時間を守らないと歯が動かない
治療の流れ
1 無料矯正相談 カウンセリング
2 検査、診断
3 型取り
4 お見積り 矯正期間により金額が変わります
5 アライナー作製
6 治療開始 1~3か月ごとに来院
・1日17時間以上装着
・10日ごとにアライナー交換
■よくある質問
痛みはありますか?
アライナー装着直後は歯を締め付けられるような違和感、軽い痛みを感じる場合がありますが徐々に慣れていきます。
食事はできますか?
取り外しができる装置ですのでお食事の際はアライナーをはずして美味しく食べることができます
どのくらい装着するのですか?
1日17時間以上は装着してください。お食事と歯ブラシの時は外してください。
装着期間はどれくらいですか?
個人差はありますがおおよそ半年~1年くらいです。





