診療内容

歯が失われる原因の1番は歯周病です。
成人の80%が歯周病を患っていると言われております。歯周病は初期は出血からはじまり、徐々に歯肉が腫れたり、歯を支えている骨が溶けてしまいます。多くの歯が失われると入れ歯になってしまいます。
■症状
起床時口の中が粘つく / 歯を磨くと出血する / 歯ぐきが腫れる / 歯が動く / 歯ぐきを押すと膿がでる / 口臭がある / 歯が長くなった / 冷たい物を飲むとしみる / 固い物が咬めない / 歯が浮いた感じがする
治療方法
1.歯周病検査
出血の有無、ポケットの深さ、動○度 歯肉の色 等
2.プラックコントロール
ブラッシング指導 歯ブラシだけでなくデンタルフロス、歯肉歯ブラシの練習もします。
3.スケーリング(歯石取り)
歯に付着している歯石を取ります
付着状態により回数が異なりますが1~3回位です。
ルートプレーニング(進行度に応じて)
ポケットが深く、歯肉にかくれた歯石を取り、根をツルツルにする処置です。
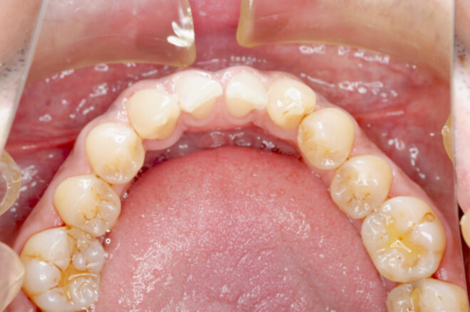
クリーニング・PMTC

PMTC術前

PMTC術後
4.メンテナンス
数か月に一度、口腔衛生指導、検査、スケーリング等をし管理していきます。
診察時間
| 診療時間 | 月 | 火 | 水 | 木 | 金 | 土 |
|---|---|---|---|---|---|---|
| 9:30〜12:30 | ● | ● | ● | ● 13時まで | ● | ● |
| 14:00〜20:00 | ● | ● 19時まで | ● | × | ● | ● 17時まで |
※予約優先制、急患随時受付 ※日曜・祝日・年末年始は休診
- 来院される前に、持参していただくもの
- ・保険証(初診の方、または月初めにはお持ちください)
- ・その他 入れ歯が壊れたりされた場合、破片等もお持ちください。





